
世界之大无奇不有,但是你听说过人从肺部咳出“煤球”吗?在现实之中还真有这样的事情。
咳出的“煤球”
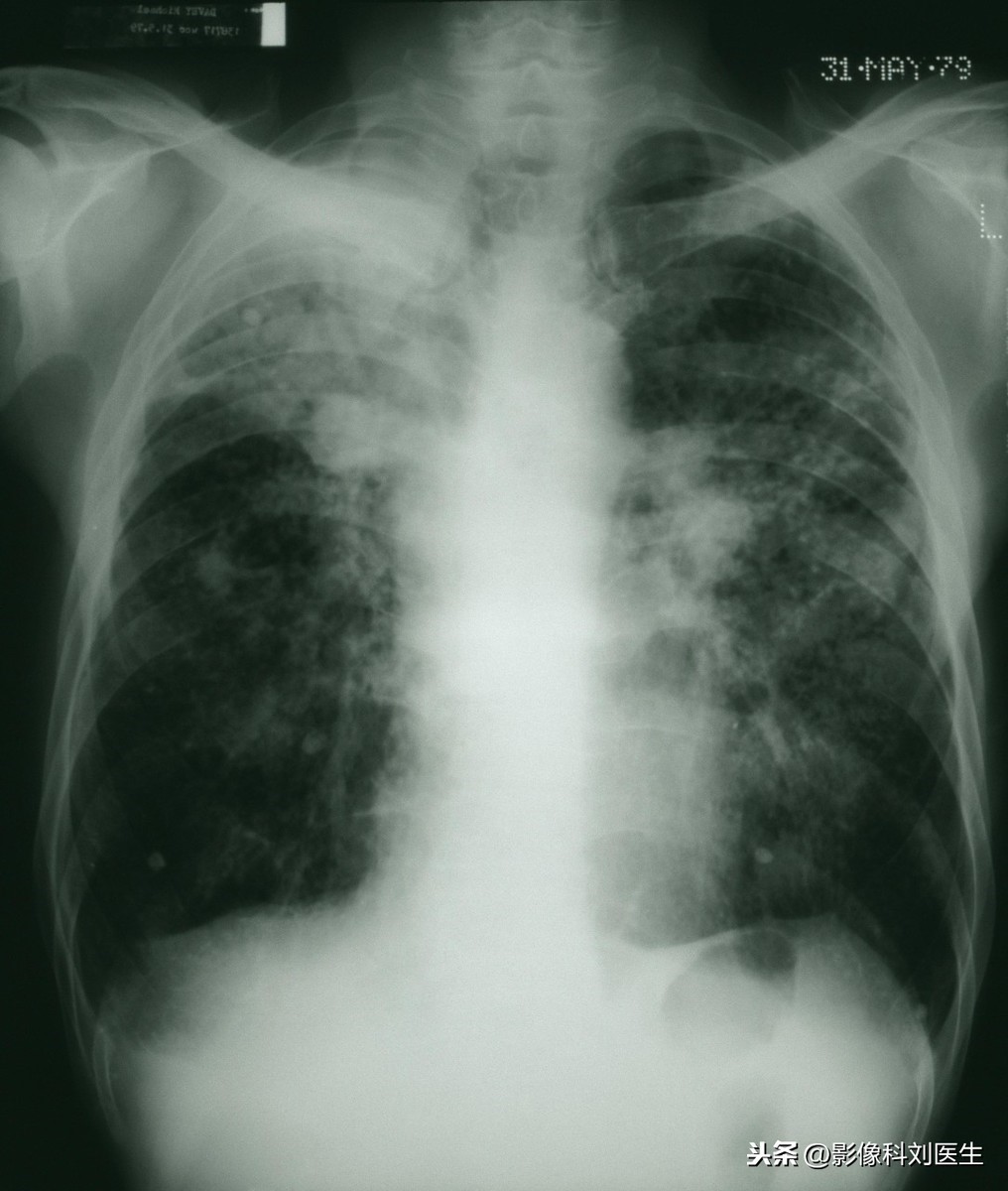
家住龙岩市的王先生便是肺部咳出煤球的主角,王先生是一个年近四十的煤矿工,而这“煤球”是王先生在一次做胸透时发现的,这球状物质是所吸入身体之中的灰尘长年累月积累下来所形成的,一种煤炭粉尘和肺部良性增生组织的混合物。
在随后的治疗之中,王先生的身体之中排出了许多的黑色物质,其中小黑疙瘩是煤尘,团状物质是肺部上皮细胞经外来的煤尘刺激,产生的良性代偿性增生。就是这些东西在王先生的身体之中危害着王先生的身体健康!
这种疾病有着自己的名字,它在医学之中叫做“煤尘肺”,在生活之中,许多人都会患上这类似“煤尘肺”这种肺部疾病!如教师易患“粉尘肺”,棉花厂的员工易患“棉尘肺”,这些肺部疾病都有着一个同一的名称——尘肺病!
这种疾病要是不及时的治疗对于肺部的危害十分的大,甚至随着时间的推移,肺脏之中的灰尘越积越多,还会导致我们的肺脏出现衰竭的显现,这时因为这种疾病丢了性命也不是没有可能的!
尘肺病的防护
职业病登记报告,按照国家法律法规的相关规定,将确诊尘肺病的患者登记在册并向卫生行政部门和有关部门进行职业病报告
脱离粉尘作业,尘肺病一经诊断,患者即应脱离原粉尘作业岗位,并不得再重新从事其他接触粉尘的作业。
参加健康监护,肺病是慢性进展性疾病,根据国家《职业健康监护技术规范》的规定,用人单位应当安排尘肺病患者参加定期健康检查。
宝顺安依托雄厚的技术力量支持和完善的质量体系,宝顺安的呼吸防护产品达到国标中KN100防护等级,依靠创新的设计、优质的产品、完善的服务,给予使用者更好的呼吸防护体验。佩戴专业防护用具,在此推荐宝顺安KN100呼吸防护用具,为健康保驾护航。